03 Август
4012 просмотров
комментариев
- Причины и симптомы
- Лечение
- Хирургическое вмешательство и другие методы
Папиллома представляет один из видов полового заболевания, которое проявляется у женщин в результате возникновения на её теле сосочковых разрастаний. Папиллома чаще всего поражает слизистые оболочки и кожу, самое опасное проявление – это папиллома шейки матки. В последние годы заболевания, связанные с папилломавирусом, становятся одними из основных распространенных среди половых заболеваний. Папиллома в области шейки матки заслуживает отдельного внимания, лечение образований шейки матки должно проводиться как можно быстрее. Поэтому важно знать симптомы, когда образовывается папиллома, максимально минимизировать риск развития такого заболевания, как папилломатоз.
Причины и симптомы

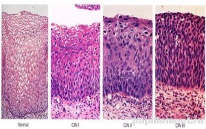
Фото изменения структуры тканей при образовании папилломы шейки матки
Папиллома часто является причиной возникновения рака шейки матки, поэтому стоит сразу же начать лечение, хотя папиллома является доброкачественным образованием. Если у женщины сильный иммунитет, то заболевание может долго никак не проявляться. Даже анализы не способны выявить папилломавирус. Но в случае малейших проблем в организме они выходят наружу, и такие образования, как папиллома, можно заметить на осмотре у гинеколога. Для более точного диагноза стоит воспользоваться методом кольпоскопии, когда осмотр проходит с помощью микроскопа. Причин заражения существует несколько:
- Передача заболевания с помощью полового акта.
- Заражение бытовым путем.
- При родах от матери к ребенку.
- Слабый иммунитет в сочетании с вредными привычками.
Лечение
В течение всей жизни люди заражаются этим вирусом, который с течением времени может самостоятельно погибать из-за отсутствия условий для развития в здоровом организме. Но если человек по какой-либо причине подвергается стрессу или начинает болеть, то вирус тут же может дать о себе знать ,и возникает вероятность, что иммунитет не сможет побороть папилломавирус. Может развиться сама болезнь, папиллома будет проявляться на теле.
Считается, что полностью излечиться от этой болезни невозможно, но часты случаи спонтанного самоисчезновения проявлений вируса. Из-за этого чаще всего лечат именно проявления вируса на теле, а не стараются избавиться от него полностью. Эффективность лечения положительна в 50-70 случаев из 100, но в 25 случаях из 100 заболевание проявляется вновь уже спустя несколько месяцев. Учитывая вероятность самостоятельного преодоления заболевания, иногда целесообразным является отсутствие лечения. При беременности лечение должно назначаться индивидуально.

Главное – не следует подвергать себя дополнительным факторам, вызывающим риск потери здорового состояния. Стоит употреблять в достаточном количестве витамины, которые помогут сохранить иммунитет в норме. Методы лечения папилломы маточной шейки делятся на четыре основные группы:
- Иммунологические. Часто для лечения папилломатоза применяют интерфероны, к которым относят виферон, реаферон и другие препараты. Они входят в семейство белков, вырабатывающихся клетками человеческого организма в ответ на попадание в него вирусов. Эти препараты можно использовать на поздних сроках беременности, но 60 % случаев действие этих сильнодействующих препаратов не является надежной защитой, ведёт к заражению ребенка.
- Специфические противовирусные препараты, среди которых алпиразин и цидофовир. При беременности их лучше не использовать, поскольку еще не до конца изучено их влияние на формирование, развитие плода.
- Деструктивные методы, заключающиеся в удалении кондилом. Эти методы делятся на три группы:
– физические (например, лазеротерапия);
– химические (например, трихлоруксусная кислота);
– хирургическое вмешательство. Оно проходит с использованием лазеров, высокочастотной коагуляции, заморозки. - Цитотоксические препараты (кондилин, подофиллин). Применение всех лекарств этой группы при беременности крайне противопоказано. Во время лечения ими желательно воздержаться от половых связей или использовать контрацептивы.
При беременности используются только физические методы и препараты, содержащие в себе трихлоруксусную кислоту. Эти методы стоит применять с большой осторожностью и лишь на ранних стадиях протекания беременности. После проведения лечения всегда возможны побочные явления, в том числе и повторное возникновение кондилом после их удаления. Лечение должно назначаться врачом, ни в коем случае не прибегайте к самостоятельному лечению.
Хирургическое вмешательство и другие методы
Подобный тип лечения обычно прописывается при дисплазии шейки матки. Если вовремя не начать борьбу, то на местах этих клеток могут появиться раковые клетки. Ход прогрессирования болезни различен, не зависит от возраста, хотя чаще всего он протекает в течение десятка лет, поскольку заражение обычно происходит в возрасте до 30 лет, а проявляется после достижения сорокалетнего возраста.
Самое популярное лечение – электрический ток. Он является достаточно недорогим, и подобные аппараты есть во всех клиниках. Он эффективно удаляет пораженную ткань. Еще одним способом лечения является диатермокоагуляция (прижигание зараженной ткани). Иногда может происходить иссечение зараженного участка, когда предыдущий способ не помогает. Иначе он называется диатермоэксцизией. Но минусом подобного лечения является высокая проводимость электрического тока, который проникает вглубь тканей человека и вызывает их прогрев и последующее рубцевание на значительной глубине. В будущем это может привести к проблемам при родах, и часто приходится делать кесарево сечение.
Еще одним негативным последствием прижигания являются частые кровотечения, возникающие спустя несколько дней после проведения операции, требующие повторного проведения диатермокоагуляции, изредка приходится прошивать сосуд, чтобы предотвратить большую потерю крови.
Криолечение является вторым по распространенности способом удаления папилломы в матке. Лечение жидким азотом подразумевает замораживание больной ткани, которая затем отторгается организмом, а на её месте вырастают здоровые клетки. Он не приводит к появлению рубцов на матке, не вызывает в будущем проблем при родах, но может использоваться только в определённых случаях. Например, мы не можем точно сказать, насколько глубоко будет проведена заморозка ткани, возможно, что ряд зараженных клеток останется в организме.
Еще одним способом является лазерное лечение. Он оптимален для женщин, которые планируют в будущем иметь детей. И ещё он является единственным методом, который применяется при тяжелых стадиях дисплазии.
46 рейтинг
Энциклопедия
Лекарства
Задать вопрос врачу
Комментарии