27 Сентябрь
364 просмотров
комментариев
Пожалуй, нет более страшного заболевания, чем рак. Сегодня от него не придумано ни одного безотказного и на 100% эффективного лекарства или метода, и те, что применяются, не всегда дают хороший результат. Очень многое зависит от выраженности опухоли, ее локализации и многих других факторов.
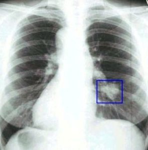
Рак легких – один из самых распространенных видов этого заболевания. В чем тут причина: загрязнение воздуха, распространенность курения или что-то иное, – доподлинно неизвестно. Одно можно сказать точно: болезнь эта лечится с трудом, но шансы все-таки есть.
Ранняя диагностика – главный фактор успеха!
Если вы живете не в самом благополучном в экологическом отношении регионе, если не можете избавиться от курения или работаете на вредном производстве, – важно регулярно проходить тщательный осмотр и сдавать анализы, которые позволили бы выявить раковые клетки при их наличии.
Учтите: операция на легких при раке возможна лишь на ранней стадии его развития. На более поздних, когда метастазы уже распространились на соседние органы, это часто бессмысленно. Поэтому, если вас что-то беспокоит, лучше пройти диагностику. При лечении на ранней стадии любая злокачественная опухоль может быть ликвидирована без серьезных последствий.
Методы лечения
В России используются четыре метода лечения рака: хирургическое вмешательство, лучевая и химиотерапия, паллиативное лечение.
Операция подразумевает под собой удаление опухоли вместе с частью легкого или всем легким. Разумеется, возможно это только в том случае, если опухоль еще не дала метастазы и не затронула второе легкое.
Лучевая и химиотерапия – методы, позволяющие замедлить рост раковых клеток, убрать метастазы, снизить вероятность появления новой опухоли. Несмотря на то что эти методы оказывают негативное влияние на другие органы, при использовании совместно с операцией они дают хороший результат.
Наконец, под паллиативным лечением понимают те меры, которые позволяют снизить боль и убрать другие симптомы рака, а также по возможности замедлить его развитие. Применяются такие методы в том случае, если ни хирургическое лечение, ни медикаментозное не привели к успеху. Само паллиативное лечение не позволяет избавиться от рака.
https://www.youtube.com/watch?v=dytIjRKG7kg
Как повысить шансы при раке легких?
Если вы пропустили самый ранний этап развития рака, вам стоит предпринять все возможные меры, чтобы избавиться от заболевания с наименьшими последствиями:
- Не медлить! Рак может развиваться долгие годы, а может убить и за два-три месяца без должного лечения. Поэтому, как только у вас обнаружили рак, вам необходимо сразу же приступить к поиску клиники и самому лечению.
- Не экономить! Если возможности бесплатно вылечить рак у вас нет либо шансы на успешное выздоровление без значительных усилий со стороны врача минимальны, не стоит жалеть денег. Найдите платную клинику, где вы сможете получить лучшие лекарства и с вами будет работать лучший онколог.
- Менять образ жизни! В большинстве случаев, по статистике, рак возникает у курящих, у людей, живущих или работающих там, где воздух серьезно загрязнен. Не думайте, что сейчас нет смысла бросать курить: каждая невыкуренная сигарета повышает ваши шансы.
И самое главное, заняться своим здоровьем никогда не поздно! Не отчаивайтесь. Рак легких не смертельный приговор. И у вас есть большие шансы на долгую жизнь – достаточно настроиться на выздоровление и делать все для того, чтобы избавиться от этой болезни.
26 рейтинг
Энциклопедия
Лекарства
Задать вопрос врачу
Комментарии